?

Laatste nieuws

Uw kennis al getest?

19 februari 2018 Terug naar overzicht

In de praktijk maken we veel gebruik van röntgenfoto’s. Maar wat zien we op de beelden en is dat altijd even duidelijk? Henrik Wagter behandelt in elk nummer van Vet. magazine een casus waar de röntgenfoto centraal staat.

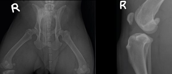
In het nummer van februari worden röntgenfoto's van patiënt Vic (American Bully standard), reu, 1 jaar en 7 maanden oud behandeld.

Casus

Het is de eigenaren van Vic op jonge leeftijd al opgevallen dat hij stijf opstaat. Aanvankelijk was dit subtiel
maar naar mate de tijd verstreek werd het duidelijk dat hij voornamelijk problemen met zijn achterhand
heeft. De klachten verergeren na activiteit. Rust en NSAID’s hebben helaas geen verbetering gebracht.
De klachten lijken zelfs progressief; sinds drie weken kreupelt hij duidelijk met zijn rechter achterpoot. Er worden röntgenfoto’s gemaakt waarna de Bully wordt doorgestuurd naar onze kliniek. De opnames van de heupen en derechterknie zijn hieronder afgebeeld.


wat-zie-ik-feb.JPG
 

De oplossing

Wat zie je op de foto? Het antwoord vind je op pagina 36 in Vet. Magazine februari 2018.
 

Lees online »